galaxy orthodontic center
Tentang Klinik Galaxy Orthodontic Center
Galaxy Orthodontic Center (Klinik GOC) adalah klinik gigi spesialis ortodonti di Bekasi yang berfokus pada perawatan behel gigi dan kesehatan gigi serta mulut secara menyeluruh. Klinik GOC menghadirkan layanan ortodonti yang ditangani langsung oleh dokter gigi spesialis ortodonti dengan dukungan tim profesional berpengalaman.
Didukung teknologi modern, standar sterilisasi ketat, dan pendekatan perawatan yang aman serta terencana, Klinik GOC berkomitmen membantu pasien mendapatkan susunan gigi yang rapi, fungsi kunyah optimal, dan senyum yang lebih percaya diri. Dengan pelayanan yang nyaman dan profesional, Galaxy Orthodontic Center menjadi pilihan klinik gigi terpercaya bagi masyarakat Bekasi dan sekitarnya.




Profil Klinik Galaxy Orthodontic Center
Galaxy Orthodontic Center (GOC) merupakan klinik gigi swasta yang menyediakan fasilitas dan layanan kesehatan gigi dan mulut dengan fokus utama pada spesialisasi ortodonti. Klinik ini hadir untuk memberikan solusi perawatan gigi yang tidak hanya memperhatikan aspek fungsi, tetapi juga estetika senyum dan kesehatan rongga mulut secara menyeluruh.
Latar Belakang Klinik
Klinik Utama Galaxy Orthodontic Center didirikan sebagai fasilitas pelayanan kesehatan gigi dan ortodonti yang berorientasi pada perawatan profesional dan berstandar tinggi. Dengan dukungan teknologi modern serta penerapan standar sterilisasi yang ketat, GOC berkomitmen menghadirkan pelayanan yang aman, nyaman, dan berkualitas bagi setiap pasien.
Fokus utama klinik adalah menyediakan perawatan ortodonti yang aman, efektif, dan terjangkau, khususnya bagi masyarakat Bekasi dan sekitarnya. Setiap perawatan dilakukan melalui pemeriksaan menyeluruh dan perencanaan yang matang untuk mencapai hasil optimal dan berkelanjutan.
Visi
Menjadikan Galaxy Orthodontic Center sebagai klinik unggulan dan pusat pelayanan kesehatan gigi dan mulut berbasis perawatan ortodonti dalam mendukung peningkatan derajat kesehatan gigi dan mulut masyarakat Indonesia.
Misi
Meningkatkan dukungan dan pelayanan spesialistik kesehatan gigi dan mulut serta menciptakan Center of Excellence, khususnya dalam perawatan ortodonti.
Menyelenggarakan pelayanan kesehatan gigi yang profesional, berkualitas, dan berbasis teknologi modern.
Menjadi fasilitas rujukan bagi layanan kesehatan gigi dan mulut lainnya.
Tentang Galaxy Orthodontic Center
Klinik spesialis behel di Bekasi Selatan dengan layanan ortodonti modern dan tim profesional berpengalaman.


150+
15
1000+ Pasien Puas
5 Bintang

Testimoni Pasien klinik GOC


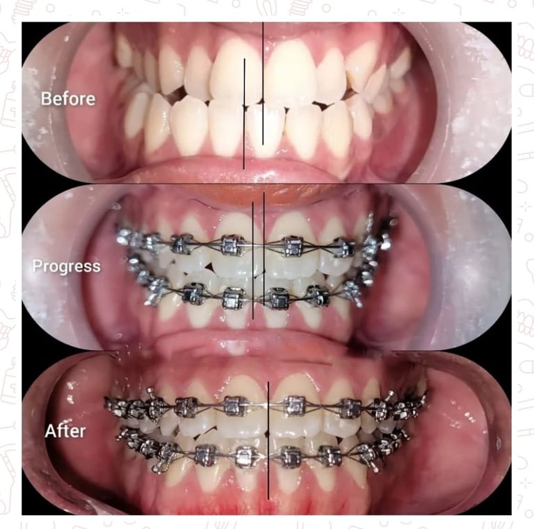
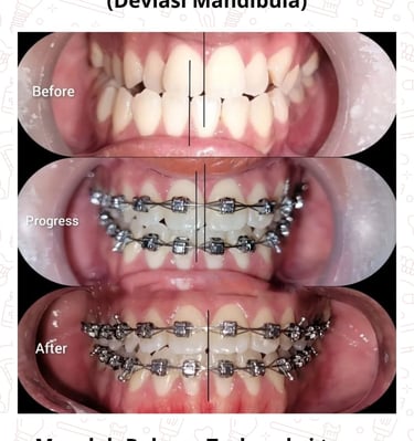
Galeri Kami
Momen perawatan behel dan senyum pasien bahagia.








Lokasi Kami
Galaxy Orthodontic Center berada di Bekasi Selatan, mudah dijangkau dan nyaman untuk kunjungan Anda.
Alamat
Jl. Pulo Ribung Raya Blok AR-I No. 18 Jakasetia, Bekasi Selatan
Jam Operasional
Senin - Minggu 09:00 - 21:00
